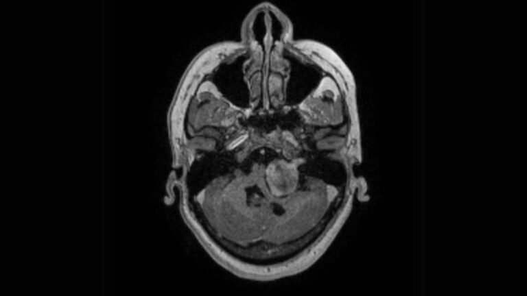
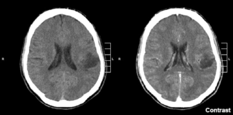
Meningioma: Sintomas, Diagnóstico e Opções de Tratamento
Os meningiomas são tumores que se originam das meninges, as membranas que envolvem o cérebro e a medula espinhal. Embora a…

Os meningiomas são tumores que se originam das meninges, as membranas que envolvem o cérebro e a medula espinhal. Embora a…

Se você pensa que o neurocirurgião apenas realiza “cirurgias na cabeça”, é importante saber que a atuação desse profissional vai muito…

Você já se perguntou qual tipo de dor de cabeça pode ser motivo de preocupação? As dores de cabeça são bastante…

Em um marco significativo para a neurocirurgia no interior paulista, o Hospital de Esperança (HE), em Presidente Prudente, uma instituição filantrópica…

Sentir dor ou desconforto em qualquer parte do corpo é sempre motivo de preocupação, mas quando esses sintomas envolvem o sistema…

Embora muitas vezes passem despercebidos, os aneurismas apresentam um risco significativo à saúde quando se formam no cérebro. Essas formações, conhecidas…

Os schwannomas, também conhecidos como Neuroma, Neurolemoma ou Neurilemoma, são tumores benignos que se originam das células de Schwann, responsáveis por…

Os gliomas são um grupo de tumores cerebrais que originam-se das células gliais, que desempenham funções de suporte e proteção dos…

Fui recentemente convidado para participar do podcast “Entrevista com Especialista”, organizado pelo Boa Consulta, onde tive a oportunidade de falar sobre…

Nessa entrevista da SBNTV compartilho minha paixão e dedicação a esta especialidade médica complexa e gratificante. Neste vídeo, exploro os avanços…

Neste vídeo, compartilho insights sobre meu trabalho e minha carreira como neurocirurgião. Discuto a importância de continuar aprendendo e me atualizando…

Aula apresentada no dia 16/05/2022 no Curso de Neuroanatomia e Técnica Neurocirúrgica do Hospital das Clínicas da Faculdade de Medicina da…